Toxicology Visual Pearls
About the Program
The Toxicology Visual Pearls series is a collaboration between ACMT and Academic Life in Emergency Medicine (ALiEM.) The pearls are open-access, expert peer-reviewed, toxicology-related visual stimuli followed by a question and discussion. The authors and editors volunteer their time and expertise to bring this well-regarded series to readers of the ALiEM blog. The series is led by Drs. Louise Kao and Howard Greller from ACMT and Dr. Kaitlin Bowers from ALiEM.
About ALiEM: ALiEM aims to enhance how medical providers and trainees can gain public access to high-quality, educational content while also engaging in a dialogue about best-practices in EM and medical education. ALiEM strives to reshape medical education and academia in their evolution beyond the traditional classroom.
How to Submit a Pearl
If you are interested in submitting a pearl for the series please see the submission guidelines below.
Author information:
- Name, Academic Title, Email address, Faculty Photo, Twitter handle
- Multiple authors permitted
Visual Item:
An image or two such as a photo, EKG, radiology
Original images that you own the rights to are preferred. Your original photos should adhere to Creative Commons licenses and contain no patient identifying information.
If you don’t have your own image, we recommend searching for material from a royalty-free photo platform such as Creative Commons, Pixabay, Pexels, or Public Domain Pictures.
Images should be .jpg or .png files.
Image size should be 2x wide by 1x height (ideally a minimum of 800 px wide)
Question: Multiple choice question with 4 answer choices utilizing the image; please alphabetize the choices
Answer:
- Answer to the question with a brief one-two paragraph explanation
- Please include 4-6 references with PMID
Bedside Pearls:
- Brief bedside pearls for the clinician caring for this type of poisoning.
References
- List your numbered references in order of appearance in the post.
- Use AMA citation format.
- Place the PMID next to each citation with a hyperlink to the associated webpage.
- Example: Kraus CK, Weaver KR. Traumatic Dislocation of the First Carpometacarpal Joint. Am J Emerg Med. 2014;32(12):1561. PMID: 24993682
Submit your item to Louise Kao: Lkao@iuhealth.org
Please read the New Author Guidelines to prepare your pearl submission.
ALiEM Blog: New Author Guide for Clinical Posts Welcome!
We’re thrilled to review your submission to the ALiEM blog. This guide will introduce you to our basic writing and design standards.

Inverted Pyramid Style: Approach to Blog Writing
There are a number of similarities between writing for a medical education blog and an academic journal. However, unlike journals, blogs are not bound to the traditional Introduction-Methods-Results-Discussion format. Instead, a classic journalism technique – the inverted pyramid – will help you structure your post and prioritize your learning points.
Imagine your post is an inverted triangle. The beginning of your post is the widest part at the top of the pyramid and represents your most important learning points. State these early. As you write, the blog post becomes more “narrow,” represented by the bottom of the pyramid. Here you provide supporting evidence, data, and detail. You may apply this technique to each individual section within your post too.
Unlike academic publications, in which the clinical implications are presented at the end of the study, blog posts are structured in a way that highlights the take-home points early, allowing readers to “scan” and gather the most important information.
Title
Your title should be unique, descriptive, and specific. Avoid abbreviations and colloquial language. You can, however, get creative. For example, if your content answers a specific clinical question, you can incorporate that question into your title (e.g. “How Competitive was EM in the 2018 Match? The answer might surprise you”). Notice how this title instills curiosity, without giving away the answer to the question. Be sure to include the key term(s) that you want discoverable by Google search engines within the title.
First Paragraph
The first paragraph introduces your topic and tells the reader why it is important to their clinical practice. The best introductions spark curiosity, inform readers of a knowledge gap, and set the expectation that reading further will fill this void.
Take a moment to look at the blog, and you’ll see that the first paragraph sits on the homepage for several days. It functions as a “teaser,” providing the reader with some background information and outlining the learning objectives.
A few guidelines:
1. Length: 4-6 sentences.
2. Avoid headers, hyperlinks, or formatting in the first paragraph.
3. Make sure the first paragraph is related to your post’s main message.
4. Avoid unnecessarily long sentences, lists, or highly-detailed information (inverted pyramid!).
5. Please provide us with a high-resolution image related to your topic; we will right-align and embed this into the first paragraph.
Provide small bites of information. A high density of text does not favor readability and limits comprehension.
Headers
The rest of your text will be divided by 3-4 section headers. Think of these headers early when writing your post; this will help the rest of your writing unfold. Headers provide focus points for the reader and direct their attention to the information you want them to learn. Consider headers with words like “How” and “Why” (these have been shown to snag readers’ attention) and don’t be afraid to make a main point in the header itself.
Spelling, Grammar, and Formatting
Some rules to keep things consistent:
● Use American English spellings.
● Be careful about using non-traditional abbreviations for the sake of brevity. When in doubt, spell out the word in its first instance.
● Use serial commas.
● Use only 1 space after periods, not 2.
● Be sure to place a period at the end of a bullet if it is a complete sentence.
○ Period? YES: There is a 25% chance of perforation.○ Period? NO: 25% chance of perforation
● As long as the sentence doesn’t start with a number, use the actual numeric form (1, 2, 3).
● Include units after numbers. Stick with the metric system. Make sure to include a space.
○ YES: 45 mg/dL ○ NO: 45mg/dL
● Avoid underlining text (this implies a hyperlink).
Tone
For most submissions, your target audience is your politically correct friend from medical training. You are a content expert, and your friend from medical training is asking you to bring them up to speed. Your friend will appreciate direct, succinct explanations with punchy descriptions and memorable examples. Ensure that your post welcomes all readers and promotes inclusive learning. Overall tone should be professional, friendly, and engaging.
Pro-Tips: Bulleted Lists & Tables
If you find yourself listing ≥3 items, consider bullet points or numbers. This improves readability especially for digital media. If you have a dense paragraph with data or research numbers, you may also consider a bulleted list.
If you identify a common denominator or theme across multiple sections or your post or paragraphs within a section, consider presenting the information as a table instead of text. We don’t expect you to develop this table – we’ll help you with that! But as you write, always be on the look-out for opportunities to present your content as an organized graphic (e.g. table, graph, or bulleted list), and if it crosses your mind, reach out to us and pitch the idea. This will save all of us time later when we copy-edit your work.
References
In your post, number your references and place these numbers within brackets at the end of a sentence, before the period.
● YES: Most aneurysms have a SBP goal of <140 mmHg [1, 2].
● NO: Most aneurysms have a SBP goal of <140 mmHg. (Brown, Anderson).
At the end of your post, list your numbered references in order of appearance in the post. Please use AMA citation format and put the PMID next to each citation with a hyperlink to the associated web page. If there is no PMID, please write the reference in AMA format.
Example:
1. Kraus CK, Weaver KR. Traumatic Dislocation of the First Carpometacarpal Joint. Am J Emerg Med. 2014;32(12):1561. PMID: 24993682
2. Lahiji F, Zandi R, Maleki A. First Carpometacarpal Joint Dislocation and Review of Literatures. The Archives of Bone and Joint Surgery. 2015;3(4):300-303. PMID: 26550598
3. No PMID; Anderson, C. The impact of blood pressure on stroke risk. N Eng J Med. 2016;(368)25:1453-1458.
Images
Try to use high resolution copyright-free images. If you have a question about this, let us know. We take all HIPAA violations very seriously, so please try to remove all potential identifiers before submitting your post. These are often hiding in the corner of Ultrasound videos or ECGs.
Pictures of a physical exam finding may include identifies such as tattoos or name brands – these must be cropped out.
Below are links to all toxicology visual pearls. Click the button to view the photos, prompt, answers, and access the full post (some include other media including charts and videos.)

Mar 24, 2026
Blue to the Rescue
By: Victoria Soewarna, MD and Kathryn T. Kopec, DO

Jan 20, 2026
Hidden Danger
By: Mary E. Heslin, MD and Anna Dulaney, PharmD, DABAT

Nov 18, 2025
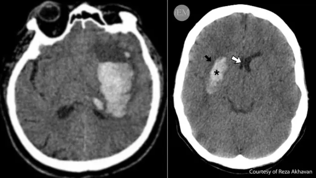
Basal Ganglia Hemorrhage
By: Fernanda Calienes-Cerpa, MD and Erik Fisher, MD

Nov 4, 2025
Necrosis in the Name of Anticoagulation
By: Natalie M. Rall, MD and Erik Fisher, MD

Sept 23, 2025
Cookie Monster
By: Chloe Doris, MD and Kathryn T. Kopec, DO

Sept 9, 2025
Danger in the Shallows
By: Samuel Kerans, MD and Kathryn T. Kopec, DO

Aug 12, 2025
Lead it Be?
By: Madison Watts, MD and Anna Dulaney, PharmD, DABAT

May 30, 2025
Not Very A-peel-ing
By: Emma Lindemann, MD and Brian Lewis, MD

April 16, 2025
Turning Blue
By: Sean Flannigan, MD and Erik Fisher, MD

March 26, 2025
A Toxic Tuber
By: John Michael Sherman, MD and Kathryn T. Kopec, DO

March 5, 2025
If the Glove Fits
By: Olivia Paradis, MD and Kathryn T. Kopec, DO

Feb 19, 2025
Where There’s Air, There’s Fire
By: Aaron Fox, MD and Christine Murphy, MD

Feb 5, 2025
Hiss-teria Averted
By: Sean Flannigan, MD and Erik Fisher, MD

Aug 2, 2024
A “Purplexing” Finding
By: Kellie LeVine McKenzie, MD and Matthew Robert Dernbach, MD

July 26, 2024
Household Plant Gone Wrong
By: Deryan Smith, MD and Kathryn T. Kopec, DO

July 17, 2024
Skin Lesions
By: Mark Baumgarten, MD and Ann-Jeannette Geib, MD

July 10, 2024
Along Comes a Spider
By: Doug Maslowski MD and Anna Dulaney, PharmD, DABAT

May 29, 2024
Lye to the Eye
By: Hannah Corral, MD and Ann-Jeannette Geib, MD

May 22, 2024
Watt – Ever is that Foreign Body?
By: Carrie Bissell, MD and Kathryn T. Kopec, DO

April 24, 2024
Kitchen Cabinet High
By: Steven M. Perry, MD and Christine Murphy, MD
April 10, 2024
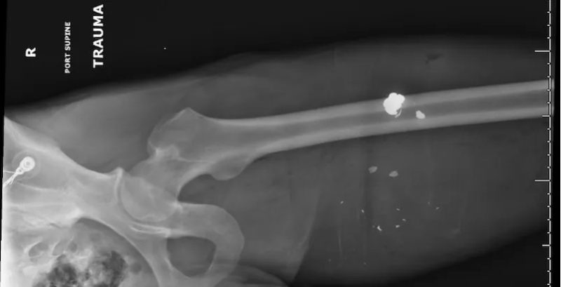
Abdominal Bruising
By: Maha M Farid MBBCh, MSc, PhD, Mohammed Abdelreheim, MSc, FRCPCH, CCT and Marwa Kh. Mohammed, MBBCh, MSc

March 27, 2024
A Bane to Existence
By: Nathaneal Franks, MD and Erik Fisher, MD

March 5, 2024
Bark with Some Bite
By: Ivan Ivanov, DO, Joanne Alonso, MD and Bhojnarine Seeram, MD

February 20, 2024
Salt, not Shock
By: Timothy Harmon, MD, Alexander Sidlak, MD and Meagan Singletary, PharmD
November 29, 2023
Needle to Necrosis
By: Christiana Agbonghae, MD and Ann-Jeannette Geib, MD

November 22, 2023
Poison Dart Frog
By: Nathaneal Franks, MD and Erik Fisher, MD

November 15, 2023
Apricot Kernels: Eat or Pass?
By: Laureen Nsofor, MD and Christine Murphy, MD
November 8, 2023
Making Rash Decisions
By: Destiny D. Folk, MD and Kathryn T. Kopec, DO

November 1, 2023
Who Doesn’t Like a Nice Rosé?
By: Allison Frazure, MD and Kathryn T. Kopec, DO

October 11, 2023
A Meal Worth Dying For
By: Faith Meyers, MD and Ann-Jeannette Geib, MD

October 4, 2023
On the Mark
By: Sofiya Diurba, MD and Ann-Jeannette Geib, MD

September 27, 2023
Mushroom Mishap
By: Kylee Brooks, MD and Anna Dulaney, PharmD, DABAT

August 16, 2023
Out of the Blue
By: Rafael Lima, MD and Arthur Daigh, MD

June 15, 2023
The Heart Won’t Go On and On
By: Sheila Goertemoeller, PharmD, DABAT, ICPS and Shan Yin, MD, MPH

June 7, 2023
Marcel the Shell with Toxins
By: Aaron Frolichstein, MD and Kathryn T. Kopec, DO
June 5, 2023
The Black Eschar
By: Alex Blackwell, MD and Kathryn T. Kopec, DO

February 24, 2023
Is the Silver Bullet for Refractory Vasoplegia Blue?
By: Parker Hambright, MD and Christine Murphy, MD
February 15, 2023
Swollen Lips
By: Maha M Farid MBBCh, MSc, PhD and Marwa Kh. Mohammed, MBBCh, MSc

June 6, 2022
Pretty (and Deadly) in Purple
By: Charles Harris III, MD and Ann-Jeannette Geib, MD

May 6, 2022
Substance-Induced Crystalluria: All That Glitters Is Not Gold
By: Alex Ponce, PharmD and Kris Nañagas, MD
April 4, 2022
Hypertension and Rash
By: Michael Semple, DO; Johana Lopez, MD; and Evan Schwarz, MD

May 26, 2021
Questions About Green Pee? Urine Luck!
By: Clare Gunn, MD and Kathryn T. Kopec, DO

April 7, 2021
In “Spore” Taste
By: Bryan Ross, MD and Kris Nañagas, MD

February 10, 2021
Necrotic Spider Bite
By: Michael Simpson, MD and Rebecca Bruccoleri, MD

January 20, 2021
A Poke in the Belly
By: Caitlin Baldwin, DO; Alexis Cates, DO; and Steven J. Walsh, MD

November 9, 2020
Case of a Toxic Tea
By: Nicholas Titelbaum, MD; Vir Singh, MD; and Daniel Nogee, MD

October 5, 2020
“I Have a Nagging Feeling About This”
By: Brian Lewis, MD; Gilbert Nelson, DO; Thomas Vu, DO; and Bryan Judge, MD, FACMT

September 14, 2020
Awake Seizures
By: Kregg Laundon, MD and Christine Murphy, MD
July 27, 2020
Perineal Skin Burns
By: Kregg Laundon, MD and Christine Murphy, MD

July 13, 2020
Caterpillar Envenomation
By: Nicholas Titelbaum, MD and Robert Avera, MD

June 22, 2020
I’ll Huff and I’ll Puff…
By: Kathryn T. Kopec, DO and Blake Bauer, MD

June 8, 2020
A Foraging Experience to Die For
By: Robert Goodnough, MD; Karla Canseco, MD; and Eddie Garcia, MD

May 11, 2020
The Doom from Down Under
By: Christopher Gardner, MD and Kathryn T. Kopec, DO

May 4, 2020
Tox Never Smelled So Good
By: Jessica Hoglund, MD and Kathryn T. Kopec, DO
February 17, 2020
Painful Foot
By: Ethen Ellington and Kathryn T. Kopec, DO

February 10, 2020
The Blood Sample Doesn’t Look Right
By: Austin Costa, MD and Kathryn T. Kopec, DO

January 20, 2020
Look, Don’t Touch
By: Ashley Mazo, MD and Christine Murphy, MD

January 1, 2020
Painful Hand
By: Angela Rombola, MD and Kathryn T. Kopec, DO

October 2, 2019
Getting Caught Yellow Handed
By: Francisco Javier Andrade Jr., MD and Kathryn T. Kopec, DO

August 16, 2019
Mushroom Mania
By: Mary Grady, MD and Christine Murphy, MD

June 26, 2019
Abnormal ECG
By: Colin O’Neill, MD and Kathryn T. Kopec, DO

May 27, 2019
Eating Foraged Wild Mushrooms
By: Alayna Prest, MD and Kris Nañagas, MD
February 18, 2019
Don’t Go Breaking My Heart
By: Jennifer Pallansch, MD; Margaret R. Lewis, MD; and Kathryn T. Kopec, DO

January 21, 2019
Abnormal Brain Imaging
By: Laura Tormoehlen, MD, FACMT, FAAN and Jeff C. Miller, MD

December 3, 2018
Blue Urine
By: Jennifer K. Potter, MD and Kathryn T. Kopec, DO

August 30, 2018
Toxic Mouth Pain
By: Heather A. Borek, MD and Matthew Eisenstat, MD

April 9, 2018
Spider Bite
By: Adrienne Hughes, MD and Robert G. Hendrickson, MD
February 21, 2018
Drug-Induced Rash
By: Jennifer S. Love, MD and Louise Kao, MD, FACMT

December 18, 2017
Toxic “Weed”
By: Leslie R. Dye, MD, FACMT
July 10, 2017
Discolored Skin/Urine
By: Hannah Malashock, MD
May 1, 2017
Exotic Viper Envenomation
By: Bryan Judge, MD, FACMT

April 3, 2017
Suicide Plant
By: Louise Kao, MD, FACMT

October 16, 2017
Drug-Induced QT Prolongation
By: Ryan Marino, MD and Anthony Pizon, MD, FACMT


